
中新网安徽新闻10月17日电 “身体不僵硬了,现在和正常人没差别。”近日,37岁的李女士笑着描述治疗后的状态。今年6月,她在中国科学技术大学附属第一医院接受NCR201干细胞移植治疗(NCR201 是一款诱导多能干细胞衍生的多巴胺能神经前体细胞疗法),三个月后成为全球首位通过该疗法实现“功能性治愈”的帕金森病患者。

NCR201是一款诱导多能干细胞衍生的多巴胺能神经前体细胞疗法。医生通过机器人辅助立体定向微创手术,将诱导多能干细胞(iPSC)衍生的多巴胺能神经前体细胞(iDAP)精准植入她颅内预定部位。

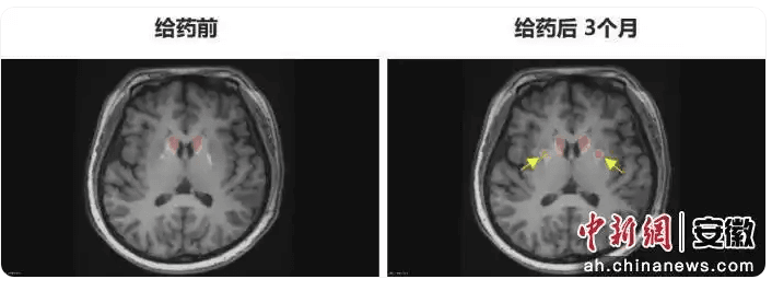
术后3个月的综合评估显示,患者各项功能指标均实现突破性改善。PET - DAT/MRI融合影像显示,移植细胞已在患者脑内成功定植并转化为功能性多巴胺能神经元,双侧纹状体形成显著的de novo新生多巴胺能活性成像,为功能性治愈提供了最直接的支撑。临床数据也直观地展现了治疗效果,患者运动功能得到根本性恢复,“关期”完全消失,每日“Good ON”(状态良好)时间增加4.5小时,提升近40%,且是否服用左旋多巴类药物已无明显差异。同时,患者生活质量全面回归,剂末现象、异动症等传统治疗难以解决的并发症彻底消失。
帕 金 森
帕金森病是一种常见的神经系统退行性疾病,随着人口老龄化的加剧,其影响范围也在不断扩大。传统观念中,帕金森病常被视为“老年病”,多在60岁左右发病,但如今其呈现出年轻化趋势,这可能与现代生活节奏加快、社会压力增大以及不良生活方式等因素有关。多年来,医学界对帕金森病的治疗主要以对症治疗为主,尚无针对病因的有效方法,患者往往面临着病情逐渐加重、生活质量下降的困境。然而,干细胞治疗的出现,为帕金森病的治疗带来了新的希望。
干 细 胞 治 疗 帕 金 森 病 的 机 制
帕金森病(PD)是常见神经退行性疾病,主要因中脑黑质多巴胺能神经元退变死亡,使纹状体多巴胺水平降低,引发运动障碍。传统治疗难阻病情发展,干细胞治疗成研究热点,机制如下:
01细胞替代
帕金森病关键是黑质多巴胺能神经元丢失。干细胞有自我更新和多向分化能力,移植到脑内可迁移至受损的黑质 - 纹状体区域,分化为多巴胺能神经元,与周围组织建立突触,重建神经环路,补充丢失的神经元,增加多巴胺分泌,改善运动症状。如诱导多能干细胞(iPSC)可经基因编辑和定向分化成多巴胺能神经前体细胞用于移植。
02神经营养因子分泌
干细胞能分泌脑源性神经营养因子(BDNF)、胶质细胞源性神经营养因子(GDNF)等多种神经营养因子,促进残存多巴胺能神经元存活、再生,保护其免受损伤,还能调节神经递质释放和神经传导功能。如GDNF可作用于多巴胺能神经元,促进其存活、生长及多巴胺合成与释放
03免疫调节
帕金森病与神经炎症和免疫异常有关,活化的小胶质细胞等释放炎性因子损伤神经元。干细胞有免疫调节功能,能与免疫细胞相互作用,抑制小胶质细胞和星形胶质细胞活化,减少炎性因子释放,减轻神经炎症损伤,为神经修复创造有利环境。
04调节神经可塑性
神经可塑性指神经系统的自我修复和重塑能力。干细胞移植可调节神经可塑性,其分泌的神经营养因子促进神经轴突生长和突触形成,增强神经连接;还能调节神经干细胞增殖分化,促进内源性神经干细胞向多巴胺能神经元分化,增强大脑自我修复力。
05线粒体功能改善
线粒体功能障碍是帕金森病重要发病机制,受损线粒体产生过多活性氧(ROS),导致氧化应激损伤和神经元凋亡。干细胞可通过分泌因子促进线粒体生物合成和功能修复,提高能量代谢能力,减少ROS产生,减轻氧化应激损伤。

京都大学医院I/II期临床试验中,7例(年龄50-69岁)患者接受诱导多能干细胞(iPS)衍生的多巴胺能前体细胞双侧移植。主要评估指标为安全性与不良事件,次要指标则监测24个月内的运动症状变化与多巴胺生成。研究期间未出现严重不良事件。
在六名接受疗效评估的患者中,四名患者在运动障碍学会统一帕金森病评分量表(第三部分)的“关”期评分上有所改善,五名患者在“开”期评分上有所改善。所有六名患者的平均变化分别为“关”期评分下降9.5分(20.4%)和“开”期评分下降4.3分(35.7%)。四名患者的Hoehn-Yahr分期有所改善。外源性18氟-L-多巴(18F-DOPA)通量常数(Ki)值在苍白球中增加了44.7%,高剂量组的增幅更大。

该试验(jRCT2090220384)表明,同种异体诱导多能干细胞衍生的多巴胺能前体细胞存活、产生多巴胺且未形成肿瘤,因此提示其对帕金森病具有安全性及潜在临床益处。
尽管干细胞治疗帕金森病还面临诸多挑战,但李女士等成功案例无疑为患者带来了希望的曙光。随着研究的不断深入和技术的不断进步,干细胞治疗有望在未来成为帕金森病治疗的重要手段。科研团队正持续跟踪患者的长期疗效,并推进临床试验的扩容。相信在不久的将来,干细胞治疗技术会更加成熟和完善,让更多的帕金森病患者受益,重新回归正常生活。
参考信息
1:中国新闻网
2:nature.com/articles/s41586-025-08700-0
免责声明:本文旨在科普相关知识,不作为医疗指导意见
编辑|Zhang.ZG
审核|Geng.ZG