
阿尔茨海默病(Alzheimer's Disease, AD),作为一种最常见的神经退行性疾病,犹如一场悄无声息的“脑海风暴”,无情地侵蚀着患者的记忆、认知与生活能力。目前主流药物仅能缓解部分症状,难以阻止或逆转疾病进程。而干细胞治疗,凭借其强大的自我更新、多向分化和组织修复潜能,正成为对抗脑萎缩、照亮“遗忘之海”的一盏充满希望的新灯。

干 细 胞 如 何 对 抗 “脑 海 风 暴”
干细胞治疗AD的核心策略并非简单替换死亡神经元(虽然这也是重要目标之一),而是通过多重机制作用于疾病发生的复杂网络:
神经保护与替代
分化神经元:干细胞可在脑内微环境诱导下,分化成功能性神经元或神经胶质细胞,补充因β-淀粉样蛋白(Aβ)沉积和tau蛋白过度磷酸化而丢失的脑细胞,修复受损的神经网络。
分泌神经营养因子:干细胞(尤其是间充质干细胞MSC)被证实能持续分泌大量神经营养因子(如BDNF, NGF, GDNF),这些因子如同“细胞肥料”,滋养受损的神经元,增强其存活能力,促进突触连接,改善记忆环路。
靶向“元凶”:调控病理环境
减少Aβ沉积:特定类型的干细胞(如神经干细胞NSC)或经工程化改造的干细胞能够主动迁移至淀粉样斑块区域,分泌降解酶(如Neprilysin, IDE),或激活小胶质细胞增强吞噬能力,直接清除Aβ这一关键毒性物质。
抑制神经纤维缠结:干细胞可通过调节tau蛋白激酶/磷酸酶平衡,间接抑制tau蛋白的异常磷酸化和聚集。
强大的抗炎“灭火器”
AD患者大脑中存在持续的慢性炎症反应(神经炎症),加剧神经元损伤。干细胞(尤其是MSC)具有出色的免疫调节功能,能够抑制过度激活的小胶质细胞和星形胶质细胞,减少促炎因子(如TNF-α, IL-1β, IL-6)的释放,增加抗炎因子(如IL-10, TGF-β),为损伤的大脑创造一个更“友好”的环境。
促进血管新生
脑部血流灌注不足是AD重要病理特征。干细胞有助于促进受损脑区的血管新生(Angiogenesis),改善局部血液循环,为神经元提供更充足的氧气和营养支持。
优化神经元内部环境
干细胞能调节线粒体功能,改善能量代谢障碍;也能帮助维持神经元的离子平衡和氧化还原稳态,抵抗氧化应激损伤。
临 床 试 验 初 步 看 到 “微 光”
全球已有数十项干细胞治疗AD的临床研究登记注册(I/II期为主)。虽然尚无公认的“治愈性”疗法获批,但早期临床数据传递出积极信号:
2025年3 月10日,美国迈阿密大学米勒医学院跨学科干细胞研究所、美国佛罗里达州德拉海滩脑问题研究中心等研究团队在行业期刊《自然医学(NatureMedicine)上发表了题为Allogeneic mesenchymal stem cell therapy with laromestrocel in mild Alzheimer’s disease: arandomized controlled phase 2a trial(同种异体间充质干细胞与 laromestrocel 治疗轻度阿尔茨海默病:一项随机对照 2a 期试验)的研究成果。

该研究共纳入 49 例轻度 AD 患者,通过对比间充质干细胞治疗组与安慰剂组的疗效发现,两组在治疗过程中的安全性表现相近;但相较于安慰剂组,治疗组患者的疾病进展速度明显放缓,脑萎缩程度得到有效抑制,神经炎症反应显著减轻,同时认知功能也呈现出改善趋势。
为精准评估不同剂量间充质干细胞的治疗效果,研究团队将 49 例患者随机分为 4 组,各组治疗方案如下:
安慰剂组:采取每月 1 次静脉输注安慰剂的方式,连续治疗 4 个月。
小剂量组:首次静脉输注 2500 万个间充质干细胞(MSCs),后续 3 个月每月仅输注 1 次安慰剂。
中等剂量组:每月静脉输注 2500 万个 MSCs,持续治疗 4 个月。
高剂量组:每月静脉输注 1 亿个 MSCs,连续治疗 4 个月。

经过4个月的治疗和后续的随访观察,有以下几点变化:
认知功能改善:与安慰剂组相比,接受 laromestrocel 治疗的患者认知功能有不同程度提升。其中,中等剂量组和高剂量组在蒙特利尔认知评估(MoCA)、简易精神状态评估(MMSE-2)这两项权威认知量表中的评分,均呈现出统计学意义上的显著提高;
脑体积保护:laromestrocel 能有效减缓大脑体积萎缩,尤其是对全脑体积和左侧海马体体积的保护作用突出。数据显示,中等剂量组的全脑萎缩速度下降幅度最大,达57%;
神经炎症抑制:治疗组患者的神经炎症水平较安慰剂组显著降低,而神经炎症是 AD 病情进展的重要驱动因素,这一结果为延缓疾病进程提供了关键支撑;
良好安全性:所有接受 laromestrocel 治疗的组别,其严重不良事件发生率与安慰剂组基本持平,且未发现与该干细胞制剂直接相关的严重不良反应,证实了其在轻度 AD 患者中的安全性。
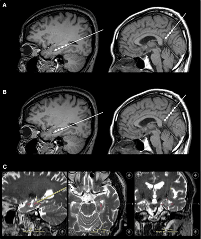
发表于《阿尔茨海默病与痴呆》(Alzheimer’s & Dementia)杂志的一项 1 期临床试验显示,研究团队对 9 例轻度至中度 AD 患者采用立体定向脑注射技术,将人间充质干细胞注入海马体与楔前叶(均为 AD 病理损伤关键脑区)。在长达 24 个月的随访中,所有患者均未出现发烧等严重不良事件,证实该注射方式具备可行性、安全性,且患者耐受性良好;

结 语
干细胞疗法的出现,为笼罩在阿尔茨海默病阴霾下的患者和家庭,投射下一束充满希望的光芒。它展现了一种从源头上重塑大脑、对抗神经退变的全新路径。尽管前路依然漫长,挑战依然艰巨,每一次科学的突破、每一次谨慎的探索,都在让我们离战胜这个“世纪顽疾”的梦想更近一步。这盏希望之灯,照亮的不只是个体康复的可能,更是人类向认知衰老和神经衰退发起的无畏宣言——我们终将在那片“遗忘之海”中,重新点亮记忆的灯塔。
参考文献
[1]Garcia MJ, Leadley R, Ross J, Bozeat S, Redhead G, Hansson O, Iwatsubo T, Villain N, Cummings J. Prognostic and Predictive Factors in Early Alzheimer's Disease: A Systematic Review. J Alzheimers Dis Rep. 2024 Feb 16;8(1):203-240. doi: 10.3233/ADR-230045.PMID: 38405341; PMCID: PMC10894607.
[2]Rash BG, Ramdas KN, Agafonova N, Naioti E, McClain-Moss L, Zainul Z, Varnado B, Peterson K, Brown M, Leal T, Kopcho S, Carballosa R, Patel P, Brody M, Herskowitz B, Fuquay A, Rodriguez S, Jacobson AF, Leon R, Pfeffer M, Schwartzbard JB, Botbyl J, Oliva AA Jr, Hare JM. Allogeneic mesenchymal stem cell therapy with laromestrocel in mild Alzheimer's disease: a randomized controlled phase 2a trial. Nat Med. 2025 Mar 10. doi: 10.1038/s41591-025-03559-0IF: 58.7 Q1 . Epub ahead of print. PMID: 40065171.
[3]Kim HJ, Seo SW, Chang JW, Lee JI, Kim CH, Chin J, Choi SJ, Kwon H, Yun HJ, Lee JM, Kim ST, Choe YS, Lee KH, Na DL. Stereotactic brain injection of human umbilical cord blood mesenchymal stem cells in patients with Alzheimer's disease dementia: A phase 1 clinical trial. Alzheimers Dement (N Y). 2015 Jul 26;1(2):95-102. doi: 10.1016/j.trci.2015.06.007IF: 4.9 Q1 . PMID: 29854930; PMCID: PMC5975048.
免责声明:本文旨在科普相关知识,不作为医疗指导意见
编辑|Zhang.ZG
审核|Geng.ZG