
在消化系统肿瘤家族中,胆囊癌是隐藏极深的 “致命杀手”—— 它早期症状隐匿,一旦确诊多属晚期,堪称 “癌王” 级别的健康威胁。更令人警惕的是,近年我国胆囊癌发病率呈上升趋势,已成为不容忽视的公共卫生问题。
胆囊癌被称为“隐形杀手”,其早期症状隐匿且恶性程度极高,多数患者确诊时已进入中晚期,五年生存率显著低于其他癌症。这种致命性源于其发病机制的复杂性与免疫微环境的失衡,而免疫细胞在早期防御中扮演着关键角色。

为何胆囊癌难以察觉?
症状隐匿性
早期胆囊癌常与胆囊结石、慢性炎症混淆,仅表现为右上腹隐痛或消化不良,易被误诊为良性病变。当出现黄疸、消瘦等典型症状时,肿瘤多已侵犯周围组织或发生转移。
进展迅速性
胆囊与肝脏、胆管紧密相邻,癌细胞易通过淋巴或血行扩散,导致治疗窗口期极短。例如,低分化腺癌和印戒细胞癌亚型预后极差,淋巴转移风险显著增高。
慢性炎症与免疫逃逸的恶性循环
胆囊结石
长期结石摩擦刺激黏膜,引发慢性炎症并促进细胞异型增生,是首要致癌因素。
遗传与代谢因素
胰胆管连接异常、肥胖及糖尿病等可导致胆汁代谢紊乱,加速癌变进程。
免疫微环境失衡
肿瘤相关巨噬细胞(TAM)中M2亚型占比升高,会抑制抗肿瘤免疫反应;而CD8+T细胞等效应细胞功能耗竭,导致免疫监视失效。这种动态平衡的破坏为癌细胞提供了“免疫逃逸”的温床。
早期预警:身体发出的 6 个 “求救信号”
胆囊癌的凶险之处,在于早期症状模糊,常与胆囊炎、胆结石等良性疾病混淆,导致70%以上患者确诊时已达晚期。但只要留意身体的细微变化,仍能捕捉到它的早期踪迹

右上腹隐痛不适:这是最常见的早期信号,约 84% 患者会出现持续性右上腹隐痛,可能伴随阵发性加剧,疼痛还会向右肩、腰背部放射。正因和胆结石、胆囊炎的疼痛相似,很容易被忽视。
消化道异常反应:绝大多数患者会出现消化不良、厌油腻、嗳气、食欲下降等症状。这是因为胆囊功能受损后,无法正常消化脂肪类食物,吃了油腻食物后,不适感会更明显。
不明原因体重减轻:肿瘤会消耗身体大量能量,加上食欲下降导致营养摄入不足,患者可能在短期内出现明显体重下降,这也是恶性肿瘤的典型全身症状之一。
进行性黄疸:约 1/3~1/2 患者会出现黄疸,多在疼痛之后出现。具体表现为皮肤、眼白发黄,尿液颜色变深,大便颜色变浅,还可能伴随皮肤瘙痒。这是癌肿侵犯胆管,导致胆汁排出受阻造成的。
右上腹包块:到了疾病晚期,患者能在右上腹触摸到质地坚硬、表面不规则的包块。这可能是迅速增大的肿瘤本身,也可能是胆汁梗阻后肿大的胆囊。
若出现上述症状,尤其是本身有胆囊疾病病史的人,一定要立即就医检查。通过血常规、血生化、肿瘤标志物检测及影像学检查,能帮助明确诊断,避免延误治疗。
免疫细胞的防御:从预警到干预
1先天性免疫的早期预警
自然杀伤细胞(NK细胞)和中性粒细胞通过识别异常细胞释放炎性因子,构成第一道防线。研究表明,中性粒细胞/淋巴细胞比值(NLR)升高与预后不良相关,提示免疫激活不足。
2适应性免疫的抗癌核心
树突状细胞:作为抗原呈递细胞,激活CD4+和CD8+T淋巴细胞,形成肿瘤浸润淋巴细胞(TIL)集群。高水平的TIL与患者生存期延长显著相关。
3免疫治疗突破
新型联合疗法(如冷冻消融联合PD-1抑制剂)通过激活CD8+T细胞应答,将晚期胆管癌治疗有效率提升至75%,为胆囊癌治疗提供新思路。
4预防策略
高危人群(如胆囊结石患者)定期进行腹部超声筛查,可早期发现癌前病变。同时,通过调节饮食、控制体重等生活方式,减少慢性炎症对免疫系统的持续消耗。
近日,重庆医科大学附属第一医院蓝翔教授团队在《World Journal of Gastrointestinal Oncology》发表了一篇病例报告。一例 68 岁局部晚期胆囊癌患者经度伐利尤单抗联合 GC(GC-D 方案)治疗 3 个周期后获得部分缓解(PR),并在治疗 1 年后达到临床完全缓解(CR);患者后续接受度伐利尤单抗单药维持治疗,无病生存期(DFS)达 9 个月,且治疗过程不良事件可管理,充分展现了 GC-D 方案在改善胆囊癌患者预后方面的潜力
患者为68 岁男性,因「右上腹疼痛持续7天」就诊。
现病史:7 天前,患者出现间歇性轻度右上腹疼痛,疼痛可耐受,持续数小时后自行缓解。无发热、恶心、呕吐或腹泻等伴随症状。患者餐后腹痛加重,遂至当地医院就诊,超声检查提示胆囊炎。无重大既往病史。无个人史及家族史
体格检查:右上腹压痛,无黄疸或肿块。
实验室检查:白细胞总数为 12.32×109/L,中性粒细胞百分比为 80.3%。此外,CA19-9 水平为 28.7 U/mL,略高于正常范围;其他常规血液检查均在正常范围内。
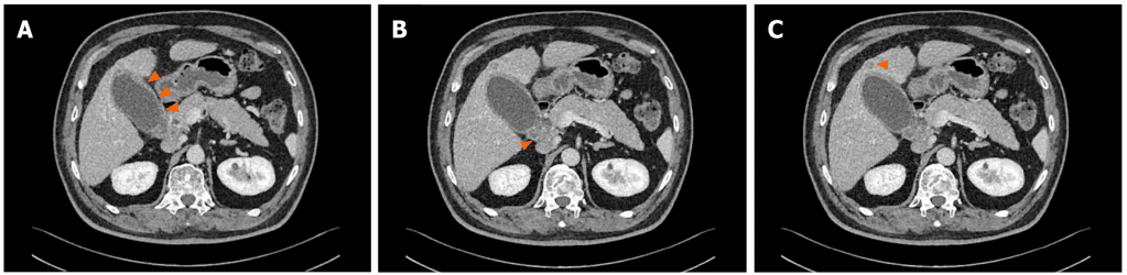
影像学检查:多期增强 CT(MCCT)显示胆囊体积增大、胆囊壁增厚,提示可能为胆囊炎;同时肝十二指肠系膜淋巴结肿大,肝 S4 段低密度灶,提示可能存在转移(图 1)。

图 1. 治疗前 MCCT检查结果
(A:胆囊体积增大、胆囊壁增厚;B:肝十二指肠系膜淋巴结肿大;C:稍低密度灶)
鉴于术前诊断不明确,患者进行了腹腔镜检查。术中观察到胆囊管增厚和硬化。首先进行了胆囊切除术,并将胆囊管近端送术中冰冻切片检查,结果显示存在肿瘤细胞伴坏死。进一步探查发现肝门区多发淋巴结肿大,部分淋巴结融合,且胆总管下段受累。如果进行根治性切除,需行肝胰十二指肠切除术,但其手术创伤大且切除范围广,可能导致多种术后并发症。与患者家属沟通相关风险后,家属拒绝进行根治性手术切除,选择后续系统治疗,因此未进行手术。患者接受了 GC-D 方案治疗(吉西他滨:1000 mg/m2,第1天和第 8 天;顺铂:25 mg/m2,第 1 天和第 8 天;度伐利尤单抗:1500 mg,第 1 天;每 21 天为一个疗程)。
术后诊断:局部晚期胆囊癌
■ 结果与随访:
患者发生了可耐受的 2 级可逆性恶心和疲劳。这些症状在约 60% 的治疗周期中出现,并通过在化疗前使用托烷司琼得到有效管理。
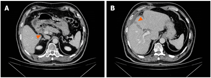
3 个周期的治疗后,CA19-9 水平降至 11.4 U/mL。MCCT 显示肝十二指肠系膜淋巴结数量减少,肝 S4 段低密度灶缩小(图 2)。由于治疗效果良好,患者继续进行治疗。

图 2. GC-D 方案治疗 3 个周期后 MCCT 检查结果
(A:肝十二指肠系膜淋巴结缩小;B:低密度灶缩小)
GC-D 方案治疗 6 个月后,肿瘤标志物水平保持相对较低。MCCT 显示肝十二指肠系膜淋巴结数量显著减少,肝 S4 段低密度病灶消失(图 3)。疗效评估为部分缓解(PR)。尽管患者在化疗后两天出现恶心和疲劳加重,但由于治疗效果良好,患者继续接受初始治疗方案。

图 3. GC-D 方案治疗 6 个周期后 MCCT 检查结果
(A:肝十二指肠系膜淋巴结明显缩小;B:低密度灶消失)
GC-D 治疗 1 年后,MCCT 显示肝十二指肠系膜淋巴结消失,肿瘤标志物水平保持在正常范围内。疗效评估为临床完全缓解(CR)。考虑到化疗的不良反应,患者后续选择度伐利尤单抗单药维持治疗。患者回归正常日常,并实现了治疗的最终目标,即延长患者的生存期。鉴于显著的 CR,我们计划进行后续研究,以追踪患者的长期生存情况、复发率和总体生活质量,评估 GC-D 方案对胆囊癌患者的持久性。

据此,2023 年美国国家综合癌症网络(NCCN)指南将 GC-D 三药联合治疗方案推荐为晚期胆道癌的一线治疗方]。本病例中,GC-D 方案治疗局部晚期胆囊癌患者实现了临床 CR,取得了令人鼓舞的结果。因此,本病例具有重要的临床价值。
胆囊癌并非不可防、不可治,关键在于 “早发现、早干预”。重视身体发出的预警信号,及时改掉伤胆囊的吃饭习惯,定期做好体检筛查,就能帮你远离这个 “沉默的杀手”。
胆囊癌的隐形杀手属性源于其与免疫系统的复杂博弈。理解免疫细胞在预警、防御和治疗中的核心作用,不仅为早期筛查提供依据,更推动了个体化免疫疗法的革新。未来,通过精准调控免疫微环境,或能赋予“隐形杀手”可防可控的新定义。
参考文献
[1]Chen K, Feng X, Lan X, et al. Complete response of gallbladder cancer treated with gemcitabine and cisplatin chemotherapy combined with durvalumab: A case report and review of literature. World J Gastrointest Oncol. 2025 Jan 15;17(1):98433.
[2]Oh DY, Ruth He A, Qin S, et al. Durvalumab plus Gemcitabine and Cisplatin in Advanced Biliary Tract Cancer. NEJM Evid. 2022 Aug;1(8):EVIDoa2200015.
[3]Oh DY, Ruth He A, Qin S, et al. Three-year survival, safety and extended long-term survivor (eLTS) analysis from the phase III TOPAZ-1 study of durvalumab (D) plus chemotherapy in biliary tract cancer (BTC). 2024 ESMO GI. 279MO.
免责声明:本文旨在科普相关知识,不作为医疗指导意见
编辑|Zhang.ZG
审核|Geng.ZG